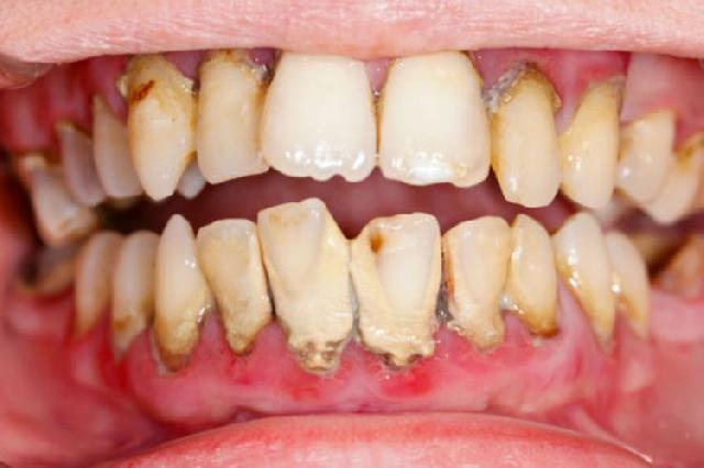
RAGAM (RA) - Gigi merupakan salah satu bagian anggota tubuh kita yang penting, sebab jika kita masih berusia muda namun tak memiliki gigi alias ompong, pasti akan terlihat aneh dan lucu. Gigi yang baik dan sehat, biasanya berwarna putih mengkilap. Dengan memiliki gigi seperti ini, tentunya akan memperindah serta membuat percaya diri seseorang. Namun, jika gigi kita berwarna hitam dan berkarang, selain tak sehat, juga akan membuat rasa percaya diri kita turun. Gak mau kan ketika tersenyum, gigi kita terlihat hitam berkarang?
Ya, karang gigi atau kalkus gigi, terbentuk dari plak dan zat kapur yang terdapat pada air liur. Plak sendiri terdiri dari kuman dan lapisan bening gigi. Di dalam mulut sendiri, terdapat lebih dari 350 jenis kuman yang dapat menyebabkan karies. Selanjutnya, jika di sela - sela gigi terdapat sisa makanan yang tidak segera dibersihkan, alhasil, maka kuman di dalam rongga mulut akan mencerna sisa makanan tersebut, yang kemudian menyebabkan karang gigi.
Agar kita terhindar dari karang gigi, dan bagi yang terlanjur sudah berkarang giginya, maka tak perlu malu. Mulai sekarang, sikatlah gigi anda dengan teratur dua kali dalam sehari untuk menghilangkan karang gigi. Untuk hasil maksimal, sikatlah gigi anda dengan benar, mulai dari gigi bagian depan disikat dari atas ke bawah, dan bagian bawah ke atas. Selain itu, sikat juga gigi bagian dalam di dekat rongga mulut, sama seperti saat menggosok gigi bagian luar. Lakukan hal ini setelah anda sarapan, dan sebelum tidur malam.
Selain menyikat dengan benar, anda juga bisa menghilangkan karang gigi dengan menggunakan cengkeh. Caranya, siapkan sekitar sepuluh siung cengkeh, lalu tumbuh sampai halus. Setelah hasil tumbukan halus, gunakan untuk menggosok gigi seperti dengan menggunakan pasta gigi. Setelah selesai, bilas dengan air bersih. Lakukan hal ini secara teratur ya, hingga karang gigi anda pudar.
Jika cara itu kurang maksimal, maka cobalah bersihkan karang gigi anda dengan menggunakan buah apel. Caranya kupas buah apel, lalu makan buah apel tersebut hingga habis. Mudah bukan?
Terakhir, anda juga bisa memanfaatkan biji asam kawak untuk membersihkan karang gigi yang membandel. Caranya, panggang biji asam kawak, lalu tumbuh hingga halus. Setelah halus, maka gunakan bubuk itu untuk menggosok gigi. Setelah itu, bilas dan bersihkan dengan air bersih. Lakukan secara teratur, hingga karang gigi anda hilang.
Selamat mencoba ya, semoga karang gigi anda bersih, sehingga gigi anda bersih mengkilap seperti sedia kala.
